| 診察日 | 月曜日~金曜日 |
|---|---|
| 受付時間 | 午前8時~午前11時 |
| 診療時間 | 午前9時~ |
| 休診日 | 土曜日、日曜日、祝日、年末年始(12月29日~1月3日) |
キーワードで検索

| X線TV透視検査は、X線を用いて体内の様子をリアルタイムでモニターに映し出し、臓器や器官の動き・形状・機能などを観察する検査です。静止画のX線撮影と異なり、体内の状態を連続的に確認できるのが大きな特徴です。検査中は医師がモニター画面を確認しながら、必要に応じて造影剤を使用したり、カテーテルや器具を操作したりすることができます。これにより、診断だけでなく、処置や治療のサポートにも活用されます。 |
SHIMADZU社製SONIALVISION G4 |
嚥下造影検査は、食べ物や飲み物を飲み込むときの動きを、X線透視装置を使ってリアルタイムに観察する検査です。バリウムを混ぜた飲み物や食べ物を実際に口から摂取していただき、その様子をテレビモニターで撮影しながら評価します。飲み込みの機能に問題がある場合その原因や程度を詳しく調べることができます。胃のバリウム検査は、造影剤と発泡剤(胃をふくらませる薬)を服用し、食道・胃・十二指腸の形や動き、粘膜の異常などをX線で詳しく調べる検査です。小腸造影検査は、造影剤を使って小腸の形や動き、異常の有無をX線で観察する検査です。小腸は、胃と大腸の間にある消化管で、全長約6〜7メートルもあり、通常のX線写真では観察が難しい部位です。
|
嚥下造影 |
胃のX線画像 |
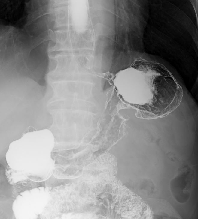
大腸造影検査は、造影剤を使って大腸の内部をX線で映し出し、ポリープや腫瘍、炎症などの異常を調べることができます。腸が重なり病変がわかりにくい場合は複数の角度からX線撮影し、それらの画像をコンピューターで立体的に再構成する断層撮影を行います。これにより、通常の撮影では見えにくい腸の重なりを分離して、より詳細で正確な画像が得られます。
|
|
|
|
小腸造影 |
|
|
大腸造影 |
大腸の断層画像 |
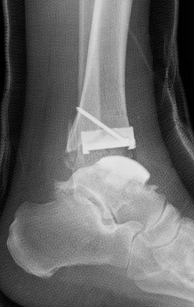
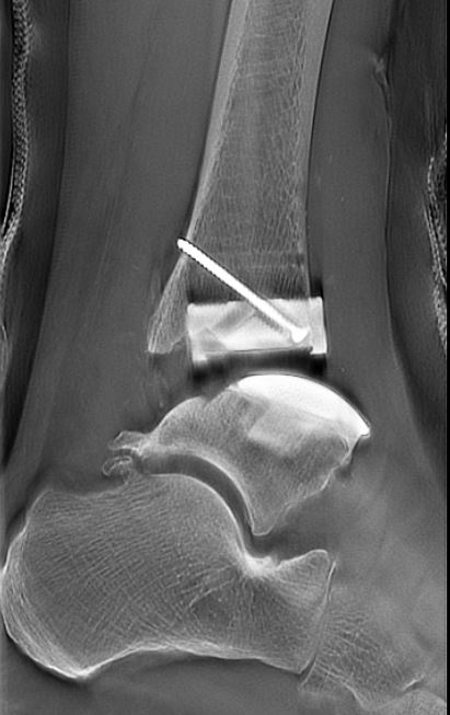
断層撮影は整形の領域でも行います。通常のX線撮影では骨や軟部組織が重なり合って見えにくいことがありますが、断層撮影では、特定の層(断面)だけをクリアに映し出すことができるため、骨や関節のより詳細な評価が可能です。特に、骨折、関節の変形、骨の異常などの診断において有効です。また、立位で検査を行うことも可能です。立位での撮影により、体重が関節や骨に与える影響を観察することができます。
|
通常のX線画像 |
断層撮影画像 |
診療科
中央診療施設