| 診察日 | 月曜日~金曜日 |
|---|---|
| 受付時間 | 午前8時~午前11時 |
| 診療時間 | 午前9時~ |
| 休診日 | 土曜日、日曜日、祝日、年末年始(12月29日~1月3日) |
キーワードで検索

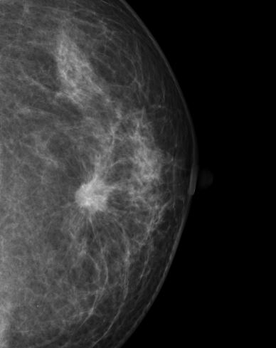
マンモグラフィは、乳房専用のX線検査で、乳がんやその他の乳房の病変を早期に発見するための画像診断法です。乳房を上下または斜め方向から圧迫して、薄く広げた状態でX線を照射し撮影します。圧迫することで乳腺の重なりを減らし、病変を見つけやすくします。また、少ないX線量で鮮明な画像が得られます。撮影時間は数分程度で、左右の乳房をそれぞれ撮影します。
乳房は主に「脂肪」「乳腺」「血管」などの軟らかい組織(軟部組織)で構成されています。これらは密度差が小さいため、通常のX線(胸部レントゲンなどで使うエネルギー)ではコントラスト差が無く、乳腺の中の乳がんを描出することは困難です。そのため、マンモグラフィではあえて低いエネルギーのX線を使って、軟部組織のわずかな吸収差を画像に反映しやすくしています。また、マンモグラフィでは、乳房内のごく小さな病変(1mm以下の石灰化など) も見逃さないように、高解像度の画像を生成できるように設計されています。
![]() |
![]() |
| 富士フィルムメディカル社製 AMULET Innovality |
マンモグラフィの画像 |
トモシンセシスは、乳房を複数の角度からX線撮影し、それらの画像をコンピューターで立体的に再構成する断層撮影技術です。これにより、通常のマンモグラフィでは見えにくい乳腺の重なりを分離できるため、微小な病変を発見しやすく、高濃度乳房(デンスブレスト:乳腺密度が高い方)でも診断精度が向上します。
拡大撮影は、乳房の特定の部分を拡大して詳細に観察するための撮影方法です。通常の撮影よりも小さな範囲を拡大して写すことで、微細な石灰化や小さな病変をより詳しく評価できます。

マンモグラフィでは上半身の服を全て脱いで専用の検査着に着替えていただきます。ネックレスやメガネなど金属のものは障害陰影になるため外していただきます。また、髪は後ろに束ねていただきます。マンモグラフィ検査では乳房を薄く広げて固定する必要があるので強い痛みを伴うことがあります。あまりにも痛みが強い場合は技師にお声掛けください。撮影時には呼吸による動きを抑制するために息を止めていただくことがあります。通常は2方向のみ撮影しますが、精密検査の場合は別の撮影を追加する場合があります。検査時は何か気になることがありましたら担当の技師にお声掛けください。
マンモグラフィは特定の状況や条件下では実施が推奨されない場合があります。放射線被ばくのリスクがあるため、妊娠中や授乳中の女性には推奨されません。ペースメーカーや胸部のシャント・ポートなど乳房に医療器具が挿入されている場合、マンモグラフィによって器具の位置がずれたり破損する可能性があります。気になることがありましたら、検査を受ける前に医師や検査技師にお声掛けください。
ステレオガイド下マンモトームは、乳がんの精密検査として使われる、非常に精度の高い針生検の一種です。特に「マンモグラフィでしか見えない微細石灰化」など、しこりとして触れない乳がんの疑いがある場合に使われる、画像ガイド付きの生検方法です。マンモグラフィー装置を使用し、X線画像をもとに三次元的に病変の位置を特定します。特に触れない小さな石灰化病変や超音波では見えない病変に対して有効です。一度針を刺しただけで、複数の組織サンプルを連続で採取できるのが特徴です。

診療科
中央診療施設